現在的人越來越注重牙齒的美白了
而是市面上也有越來越多產品是強調牙齒美白的作用
像是很多牙膏也是強調有美白的作用
這部分我是採比較保留的態度
畢竟要用刷牙刷到牙齒超白
像是如果是愛喝茶,咖啡或是有抽煙所以牙齒上有茶垢或菸垢
也可以到牙醫診所先進行噴砂處理
費用約3000-5000不等(要給醫師評估過後才有確定金額)
不過做完如果還是繼續抽煙或喝茶的話
垢還是會再出現喔~這部分並不是永久的效果
如果是黃板牙呢?
因為有些人可能臉比較白,所以顯得牙齒會比較黃
這時可在診所選擇的美白牙齒方式有兩種
一種是冷光美白
一種是居家美白
兩者的差異呢?
簡單來說, 冷光美白需要在診所躺個一到兩個小時
由醫生操作,做完牙齒會迅速白一到兩個色階
不過有些人做完會覺得牙齒比較敏感會比較容易酸冷
這部分要等到過了幾天比較適應之後,酸冷的感覺才會變得比較輕微
而費用上面也會比較高,一次療程約20000左右
效果可以維持多久呢?當然也是要看你術後自己的維持
有些人會再加買居家美白,當作術後的維護
不過茶啊,咖啡... 等色素比較深的食物,也是要少吃
而這次要介紹的居家美白
價錢比起冷光會便宜滿多的,約8000元左右
會要先到診所印一副自己的模型
這模型會先送到技工所,請技工所製作一副專屬於你的美白牙托
不需要戴著睡覺
像我沒時間戴的話,我都戴著睡覺
睡起來牙齒就會滿酸的
如果覺得牙齒會酸酸的
那隔天就休息一下
大約隔個兩三天在戴就可以了
因為居家美白的效果
本來就是慢慢的在進行
可以看到我這次買的藥劑是3條,其實用量很省
所以3條可以用滿久的
拆封後要冰在冰箱冷藏保存~
每天用量不會很多
我都擠一些些在前六顆就好了
其實還是算有點多~一般就一顆牙齒用量約一小顆米粒大小應該就夠了
而因為後牙和內側面部分其實笑的時候也不會看到
所以就不用擠也沒關係
使用前當然是先刷好牙,然後使用牙線
將一些牙菌斑等髒東西先清除乾淨
再用棉花棒將牙齒上的口水擦乾一下
接著在放上有放藥劑的牙托
就大功告成了
(因目前手邊只有iphone,故照片有點模糊,之後再更新照片)
戴上牙托的樣子也不會太奇怪
因這種牙托是依據你印出來的模型
去專屬打造出來的牙托
對於你的牙齒來說他是比較合的,所以並不會覺得不舒服
市面上像是小屈有在賣的居家美白,
裡面附的牙托算是比較簡單,可以自己在家打造的
當然價錢有差,不過密合度應該是沒有技工所依照齒模打造出來的好吧
不過一副牙托可以用很久呢
像我這個牙托就用了好幾年了
只要再買藥劑就可以一直美白呢!
►另外如果使用後牙齒有持續敏感的現象
記得要回診給醫生檢查一下噢!
像我沒時間戴的話,我都戴著睡覺
睡起來牙齒就會滿酸的
如果覺得牙齒會酸酸的
那隔天就休息一下
大約隔個兩三天在戴就可以了
因為居家美白的效果
本來就是慢慢的在進行
可以看到我這次買的藥劑是3條,其實用量很省
所以3條可以用滿久的
拆封後要冰在冰箱冷藏保存~
每天用量不會很多
我都擠一些些在前六顆就好了
其實還是算有點多~一般就一顆牙齒用量約一小顆米粒大小應該就夠了
而因為後牙和內側面部分其實笑的時候也不會看到
所以就不用擠也沒關係
使用前當然是先刷好牙,然後使用牙線
將一些牙菌斑等髒東西先清除乾淨
再用棉花棒將牙齒上的口水擦乾一下
接著在放上有放藥劑的牙托
就大功告成了
(因目前手邊只有iphone,故照片有點模糊,之後再更新照片)
戴上牙托的樣子也不會太奇怪
因這種牙托是依據你印出來的模型
去專屬打造出來的牙托
對於你的牙齒來說他是比較合的,所以並不會覺得不舒服
市面上像是小屈有在賣的居家美白,
裡面附的牙托算是比較簡單,可以自己在家打造的
當然價錢有差,不過密合度應該是沒有技工所依照齒模打造出來的好吧
不過一副牙托可以用很久呢
像我這個牙托就用了好幾年了
只要再買藥劑就可以一直美白呢!
►另外如果使用後牙齒有持續敏感的現象
記得要回診給醫生檢查一下噢!
以下為每日戴牙托記錄,會一直持續更新喔!
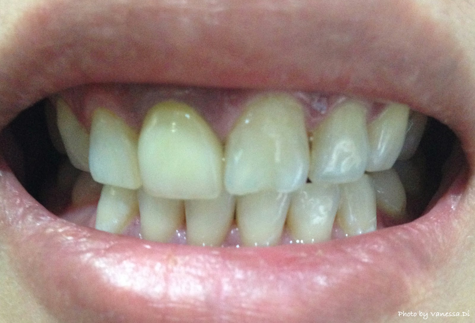
1. 未戴牙托前
1. 未戴牙托前
其實照片有點糊,看不太出來有多黃
但我覺得我是有喝比較多茶的時候,牙齒就比較黃
因為我不喝咖啡
2. 戴完第二天(只戴了第一天,第二天牙齒太酸,故休息)
今天想到用iphone的後鏡頭拍,有比較清楚,牙齒我肉眼看有比較沒那麼黃
希望可以在更白一點囉~(但我覺得我最近牙齒就沒那麼黃了,所以效果沒那麼明顯)
我這次是第二次買藥劑來戴了
不過像之前第一次戴的時候
牙齒真的滿黃的,持續帶了一到兩個禮拜後
牙齒真的有變滿白的
而且後來藥劑沒了
效果還算有維持
只是時間久了,多多少少有色素的沈澱
牙齒有時候就會變得比較黃
我覺得居家美白是可以慢慢的持續在做
做完想休息一陣子當然也沒關係
算是滿自由的
當然前提是你茶和咖啡...等色素比較深的食物或飲料也要儘量少碰啦
另外牙托的清潔和保養
也非常的簡單~當然每天拿起來就是沖洗乾淨
覺得會有味道的話,就可以稍微用牙膏清洗一下
或是也可以用保麗淨假牙清潔錠來做清潔
但不要用熱水沖啊~用一般的冷水洗就好了
然後放在陰涼處風乾就可了
有任何問題可以再問我囉!
♥艾來牙醫診所♥
台北市信義區林口街190號
02-87261166
營業時間:9:00-22:00
<此篇未完待續,美白日記持續更新中>














請先 登入 以發表留言。